Stroke Awareness Month: Knowing the signs
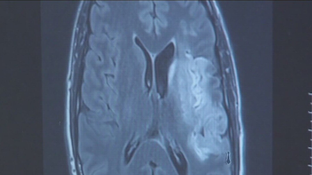
May is National Stroke Awareness Month. When blood flow is cut off from the brain, time is of the essence.
May is National Stroke Awareness Month. When blood flow is cut off from the brain, time is of the essence.