9,816 new Florida coronavirus cases reported Tuesday; 162 new deaths
The Florida Department of Health says the number of known cases of COVID-19 in the state rose by 9,816 Tuesday. According to the state's daily update, the total number of cases in Florida is now 1,589,097.
The Florida Department of Health says the number of known cases of COVID-19 in the state rose by 9,816 Tuesday. According to the state's daily update, the total number of cases in Florida is now 1,589,097.
US surpasses 400,000 COVID-19 deaths, more than any other country in the world
The United States reached a grim milestone Tuesday when reported COVID-19 deaths from Johns Hopkins University surpassed 400,000 - a death toll far greater than any other country in the world.
The United States reached a grim milestone Tuesday when reported COVID-19 deaths from Johns Hopkins University surpassed 400,000 - a death toll far greater than any other country in the world.
COVID-19 pandemic prompts SAT to remove optional essay, subject tests
The College Board said Tuesday it will eliminate the optional essay from the SAT and do away with subject tests amid a changing college admissions landscape.
The College Board said Tuesday it will eliminate the optional essay from the SAT and do away with subject tests amid a changing college admissions landscape.
Biden promises 'I will always level with you' in detailing COVID-19 plan
When it comes to America's fight against COVID-19, President-Elect Joe Biden isn't promising the world.
When it comes to America's fight against COVID-19, President-Elect Joe Biden isn't promising the world.
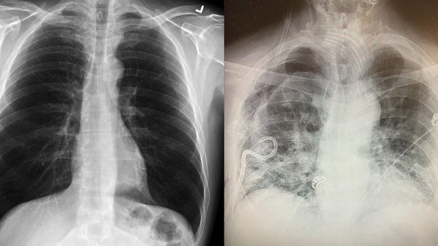
Texas surgeon noticing some post-COVID-19 lungs have more scar tissue than smokers’ lungs
A surgeon in Texas revealed she’s seeing a pattern of lung scarring in some patients who have had COVID-19 that’s worse than what she sees in smokers’ lungs.
A surgeon in Texas revealed she’s seeing a pattern of lung scarring in some patients who have had COVID-19 that’s worse than what she sees in smokers’ lungs.
California becomes first state to top 3 million virus cases
California has become the first state to record more than 3 million known coronavirus infections.
California has become the first state to record more than 3 million known coronavirus infections.
As COVID-19 deaths surge, Los Angeles County lifts limit on number of cremations
As the COVID-19 death rate in Los Angeles County continues to climb, county officials have issued an emergency order lifting environmental limits on the number of cremations that can be performed every month.
As the COVID-19 death rate in Los Angeles County continues to climb, county officials have issued an emergency order lifting environmental limits on the number of cremations that can be performed every month.
Fired Florida DOH analyst Rebekah Jones bonds out of jail, says she tested positive for COVID-19
Rebekah Jones, the former COVID-19 data analyst for the Florida Department of Health, was booked into jail Sunday and will make a court appearance Monday.
Rebekah Jones, the former COVID-19 data analyst for the Florida Department of Health, was booked into jail Sunday and will make a court appearance Monday.
Nearly two-thirds of US states see rising COVID-19 death toll amid winter surge
Coronavirus deaths are rising in nearly two-thirds of American states as a winter surge pushes the overall toll toward 400,000 amid warnings that a new, highly contagious variant is taking hold.
Coronavirus deaths are rising in nearly two-thirds of American states as a winter surge pushes the overall toll toward 400,000 amid warnings that a new, highly contagious variant is taking hold.
8,002 new Florida coronavirus cases reported Monday; 137 new deaths
The Florida Department of Health says the number of known cases of COVID-19 in the state rose by 8,002 Monday. According to the state's daily update, the total number of cases in Florida is now 1,579,281.
The Florida Department of Health says the number of known cases of COVID-19 in the state rose by 8,002 Monday. According to the state's daily update, the total number of cases in Florida is now 1,579,281.
California man allegedly lived in airport for months because he was afraid to fly: report
A California man who told police that the coronavirus pandemic left him afraid to fly has been arrested on charges that he hid in a secured area at Chicago’s O’Hare International Airport for three months.
A California man who told police that the coronavirus pandemic left him afraid to fly has been arrested on charges that he hid in a secured area at Chicago’s O’Hare International Airport for three months.
Still no second stimulus check? Here's how to get your money
Some who are still waiting for the money to arrive will need to file a tax return in order to receive the money.
Some who are still waiting for the money to arrive will need to file a tax return in order to receive the money.
Miami mayor calls for residency restriction for COVID-19 vaccine
Miami’s mayor wants to reserve doses of the COVID-19 vaccine only for those who live inside the city limits under a policy he’s calling “Miami First.”
Miami’s mayor wants to reserve doses of the COVID-19 vaccine only for those who live inside the city limits under a policy he’s calling “Miami First.”
Florida DOH says nearly 41,000 people are overdue for their second dose of the COVID-19 vaccine
Dr. Thomas Unnasch is a researcher and a public health professor at the University of South Florida. He also happens to be one of the 915,897 lucky Floridians who have been able to secure their first dose of the COVID-19 vaccine.
Dr. Thomas Unnasch is a researcher and a public health professor at the University of South Florida. He also happens to be one of the 915,897 lucky Floridians who have been able to secure their first dose of the COVID-19 vaccine.
11,093 new Florida coronavirus cases reported Sunday; 133 new deaths
The Florida Department of Health says the number of known cases of COVID-19 in the state rose by 11,093 Sunday. According to the state's daily update, the total number of cases in Florida is now 1,571,279.
The Florida Department of Health says the number of known cases of COVID-19 in the state rose by 11,093 Sunday. According to the state's daily update, the total number of cases in Florida is now 1,571,279.
New COVID-19 strains shows possible 'resistance' to antibody, but not vaccines
President-elect Joe Biden’s nomination to head the CDC, Dr. Rochelle Walensky, said at least one new coronavirus strain has shown resistance to treatments - but insists the vaccines are still effective.
President-elect Joe Biden’s nomination to head the CDC, Dr. Rochelle Walensky, said at least one new coronavirus strain has shown resistance to treatments - but insists the vaccines are still effective.
12,119 new Florida coronavirus cases reported Saturday; 205 new deaths
The Florida Department of Health says the number of known cases of COVID-19 in the state rose by 12,119 Saturday. According to the state's daily update, the total number of cases in Florida is now 1,560,186.
The Florida Department of Health says the number of known cases of COVID-19 in the state rose by 12,119 Saturday. According to the state's daily update, the total number of cases in Florida is now 1,560,186.
Ice cream from China contaminated with coronavirus: report
Officials believe the coronavirus was able to survive in the ice cream due to the cold temperature and was likely transferred from a person who had the disease.
Officials believe the coronavirus was able to survive in the ice cream due to the cold temperature and was likely transferred from a person who had the disease.
'Biden cannot be sworn in fast enough': Governors vexed by pace of COVID-19 vaccine shipments
Uncertainty over the pace of federal COVID-19 vaccine allotments is triggering anger and confusion in some states.
Uncertainty over the pace of federal COVID-19 vaccine allotments is triggering anger and confusion in some states.
Dodger Stadium transforms into COVID-19 vaccination site
Dodger Stadium reopened Friday as a COVID-19 mass-vaccination center, with Mayor Eric Garcetti saying it will have the capacity to vaccinate 12,000 people a day when it is running fully.
Dodger Stadium reopened Friday as a COVID-19 mass-vaccination center, with Mayor Eric Garcetti saying it will have the capacity to vaccinate 12,000 people a day when it is running fully.



















